어깨 물혹 있을 땐 수술로 제거 하는 것이 좋다 생각하는 분들 계신데요. 어깨관절와순 파열 같은 문제가 동반되지 않는다면 꼭 물혹 제거 수술을 해야 하는 것은 아닙니다. 그렇다면 어깨관절와순 파열은 무엇이고 물혹 제거 수술은 언제 하는 것이 좋은걸까요?

우선 어깨 물혹이란 견갑와 낭종이라 하는 견갑골에서 상견갑 신경이 지나는 부위에 물혹이 발생한 것을 뜻하며 그림과 같이 상견갑신경이 지나가는 부위에 어깨 물혹이 발생하게 되면 이 신경이 지배하는 극상근과 극하근의 위축 및 약화가 발생하게 되며 어깨 뒤쪽 및 상완부로 저림증상 및 통증이 나타나게 됩니다. 그럼 이러한 어깨 물혹은 어떻게 발생하게 되는 것일까요? 이유없이 발생되는 경우도 있으나 대부분의 경우 어깨 관절와순 파열로 인해 관절액이 빠져나오면서 발생되는 경우가 많습니다. 가장 흔하게는 상부관절와순의 손상(SLAP, 슬랩)이 있는 경우 견갑와 낭종이 동반되는 경우가 종종 있습니다. 그렇다면 어깨 물혹이 있을 때 치료는 어떻게 할까요? 단순 물혹인 경우에는 물혹만 제거하여 신경을 압박하는 것만 해결해 주면 됩니다. 이때 어깨 물혹 제거 수술은 필요치 않으며 주사기를 통해 흡입 해주면 됩니다. 하지만 어깨관절와순 파열이나 슬랩(SLAP) 을 동반하였을 때는 어떻게 할까요? 어깨관절와순 파열이나 슬랩이 치유되지 않았을 경우에는 낭종을 제거하면서 관절와순을 봉합을 해주는 수술적 치료가 필요합니다. 물혹을 주사기로 제거하더라도 관절와순의 치유가 되지 않았다면 다시 재발될 확률이 높기 때문입니다. 하지만 관절와순의 손상이 미미하거나 치유가 된 상태의 어깨 물혹을 주사기로 흡입을 한 후 적절한 치료를 한다면 매우 좋은 결과를 가져올 수 있습니다. 이것을 확인하기 위해서는 면밀하게 MRI 를 관찰해야 하며 정확한 이학적 검사를 해야 합니다. 그러니 무조건 어깨 물혹 제거 수술을 하는 것은 좋지 않습니다. 환자 케이스를 살펴보겠습니다. 환자는 헬스 운동 후 통증이 발생되었으며 약 1년동안 어깨 통증 및 어깨 주위 저림증상, 근력약화의 증상을 호소하는 환자였습니다. 다른 병원에서 수차례의 주사치료(스테로이드 주사)를 받았지만 잠깐 증상이 좋아질 뿐 점점더 증상의 악화가 있다고 하였습니다. 그래서 수술적 치료를 하자는 이야기를 들었고 이에 대해 다시 확인을 받고자 본원으로 내원하였다고 하였습니다. 타원에서 촬영한 MRI 를 살펴보겠습니다.

노란색 원형으로 표시된 부위의 하얀색 부위가 어깨 물혹입니다. 아주 커다란 어깨 물혹이 관찰됩니다. 하지만 관절와순의 손상은 관찰되지 않았습니다..

비슷한 위치로 다시한번 커다란 어깨물혹이 관찰되고 있으며 관절와순의 손상은 확인되지 않습니다.

다른 각도의 MRI 상에서도 커다란 어깨물혹이 관찰됩니다. 이 부위에서의 상부관절와순의 손상은 확인되지 않습니다.

역시 MRI 상 어깨 물혹이 관찰됩니다. 빨간색으로 표시된 부위에서 약간의 상부관절와순의 손상 흔적이 관찰되었으나 현재는 치유된 상태로 판단됩니다. 이학적 검사를 하였을 때 슬랩(SLAP) 을 의심할 만한 소견은 보이지 않았으며 극상근, 극하근의 근력약화에 대한 이학적 검사는 양성 반응을 보였습니다. 이 환자의 경우 관절와순 손상이 미미하였으며 거의 치유된 상태로 판단되며 커다란 어깨 물혹에 의한 증상으로 판단되었습니다. 그래서 초음파 유도하에 주사기를 통해 물혹을 제거하기로 하였습니다.

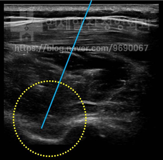
초음파상 노란색 원 안의 검은 부분이 물혹입니다.

초음파로 위치를 확인한 후 주사기를 이용하여 (파란색 선) 물혹을 제거하고 난 후 앞에 보였던 물혹이 완전히 제거된 것이 관찰됩니다.

어깨 물혹을 주사기로 흡입한 사진입니다. 이 후 환자는 증상이 매우 좋아졌으며 점짐적인 재활 운동을 통해 근력도 많이 회복되었습니다. 1년 후 초음파 검사를 다시 하였습니다.

초음파 상 어깨 물혹은 관찰되지 않았으며 환자는 증상의 재발 없이 여전히 좋아하는 운동을 하고 있었습니다. 이렇듯 어깨관절와순이 손상된 상태라면 수술적 치료가 필요하지만 그렇지 않다면 어깨 물혹이 있을 때 무조건 제거 수술을 받아야 하는 것은 아닙니다. 하지만 어깨관절와순 파열이 경미하거나 치유가 된 상태의 어깨 물혹은 주사 흡입과 같은 비수술적 치료만으로도 충분히 좋을 결과를 가져올 수 있습니다. ( 하지만 면밀히 이학적 검사를 하며 정확히 MRI 판독해야 합니다.)

