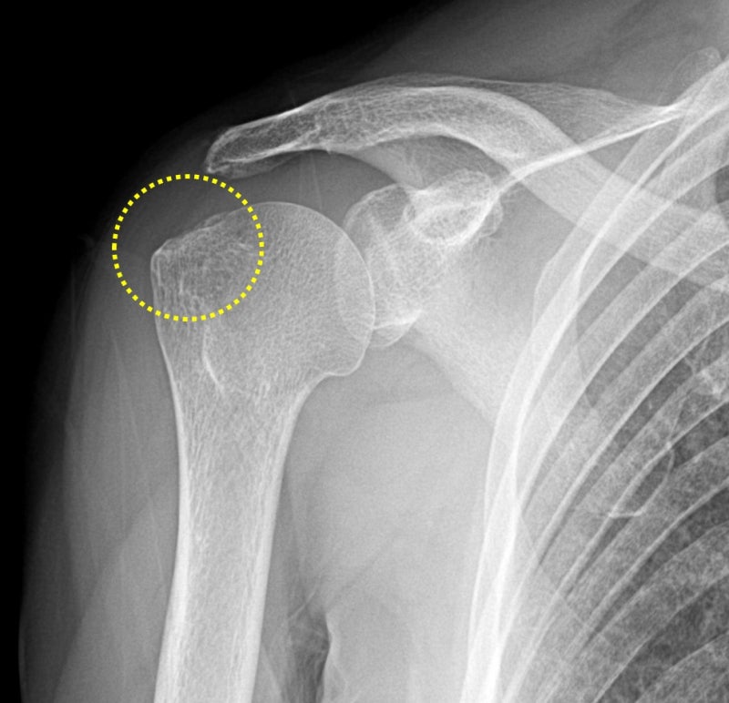
오늘은 회전근개 파열이 되고 너무 오래 되어서 완전히 해부학적으로 복원되지 않는 경우 인조인대(allomend)를 이용하여 해부학적으로 복원시킨 케이스를 살펴보도록 하겠습니다. 66세 여자 환자 분으로 오래전부터 어깨 통증이 있었는데 그냥 아플때만 주사맞으면서 견디셨다고 합니다. empty can test 양성 이었고 근력이 많이 떨어진 상태였습니다. X-ray 를 확인해 보았습니다.

이학적 검사나 x-ray 소견상 회전근개 파열이 상당히 많이 의심되어 MRI 검사를 시행하였습니다.

이러한 경우 회전근개가 원래 상완골의 대결절까지 복원이 되어야 하는데 그렇게 되지 않을 가능성이 많습니다. 그래서 환자분의 수술 계획은 최대한 봉합술을 시행하고 복원되지 않는 부위는 인조인대(allomend)를 이용하여 보강하기로 계획하였습니다.





수술을 원래 계획했던 대로 allomend 를 이용하여 회전근개 봉합술 및 봉합술을 시행하였습니다. 수술 직후 MRI 영상으로 확인해 보았습니다.

수술 후 3개월차에 다시 MRI 영상을 확인해 보았습니다.

광범위한 회전근개 파열이 있는 경우 완전히 해부학적으로 복원되지 않는 경우가 있습니다. 할 수 있는 만큼만 봉합을 한 경우 회전근개의 부착 부위가 원래의 해부학적으로 부착하는 것보다 적어지기 때문에 재파열이 발생할 가능성이 있고 회전근개의 기능의 회복도 잘 되지 않을 가능성이 많습니다. 이러한 경우 인조인대를 이용하여 보강술을 해주면 원래의 모양대로 해부학적인 복원이 가능하게 됩니다. 인조인대를 이용한 보강술을 술기가 복잡하고 어렵게 때문에 이러한 수술을 하는 병원이 많지는 않습니다. 모든 수술의 원칙은 손상된 조직의 해부학적인 복원입니다. 이를 할 수 없는 경우라도 최대한 근접하게 복원하는 것이 좋은 결과를 위해 매우 중요하다고 생각합니다. 환자분은 현재는 거의 정상적으로 활동하고 계시며 매우 만족하며 생활하신다고 합니다. 해부학적으로 복원 불가한 광범위 회전근개파열도 정상으로 회복될 수 있습니다!!!


