안녕하세요. 정형외과 전문의 이동규 입니다. 오늘도 어깨 석회성 건염에 대해 수술 없이 치료하는 뉴핌스 치료 (석회분쇄흡입술) 케이스를 보여드리겠습니다. 49세 여자 환자로 수년간 어깨 통증을 주소로 주사치료 및 충격파, 도수치료를 받았던 분입니다. 어깨 통증과 함께 가동범위 제한이 심하게 있었는데 타병원에서 석회성건염으로 진단 받고 치료 후에는 가동범위는 어느정도 좋아졌으나 어깨통증이 호전되지 않아 본원으로 내원하셨습니다.


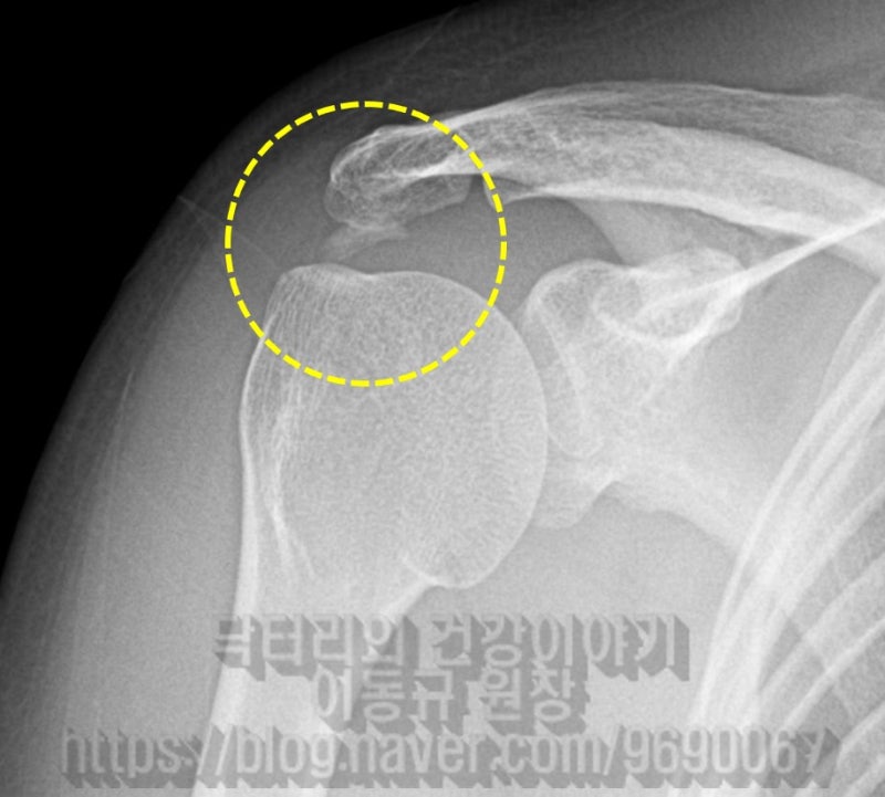
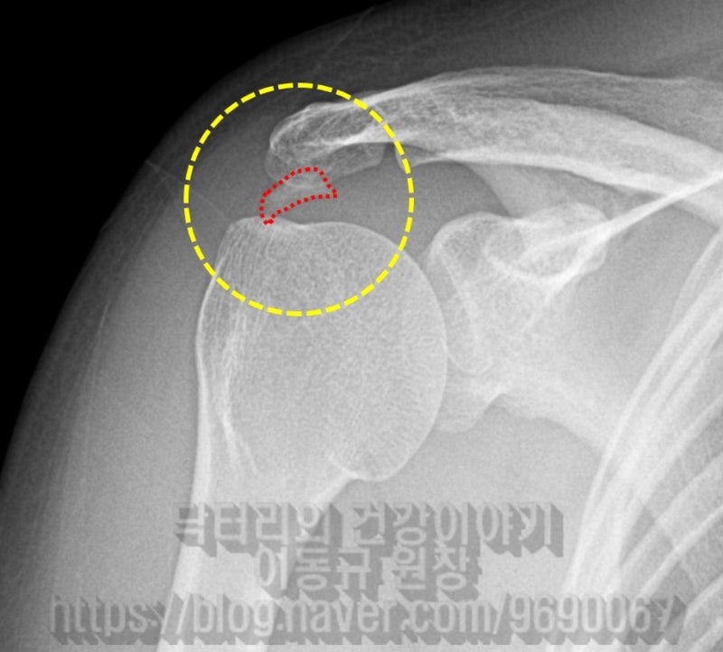
X-ray 사진을 보면 노난 원안에 극상근 부위의 석회성 건염이 보입니다. 빨간 점선으로 표시된 것이 석회입니다.
타병원에서 거의 1년 가까이 치료를 받았으나 석회의 크기가 줄어들지 않아 수술적 치료를 권고 받았으나 수술적 치료를 하기가 힘든 상황으로 비수술적 치료를 원하여 본원으로 오셨다고 합니다. 힘줄의 상태를 확인하기 위해 초음파 및 MRI 검사를 시행하였습니다.


좌측 MRI 사진에서 빨간 원안에 극상근 내부에 검게 보이는 것이 석회입니다. 우측 초음파 사진에서 빨간 점선으로 표시된 것이 극상근 내부에 있는 석회 입니다. 석회성 건염 이외에는 다른 소견은 없어 보입니다.
그래서 어깨 석회성 건염에 대해 수술 없이 치료하는 뉴핌스치료 (석회분쇄흡입술) 를 시행하였습니다.


어깨 석회성 건염은 수술 없이 뉴핌스치료 (석회분쇄흡입술) 로 충분히 치료 될 수 있습니다. 환자분은 시술 직 후 부터 거의 통증이 없어지셔서 매우 만족해 하셨습니다. 물론 환자의 상태나 염증의 정도에 따라 시술 이 후 1주일 까지 통증이 있을 수는 있으나 평균적으로 보았을 때 1~2일 이 후 에는 확연하게 통증이 없어지게 됩니다. 어깨 석회성 건염은 격어 보신 분들은 아시겠지만 엄청 아프고 극심한 고통으로 일상생활이 안될 정도로 힘듭니다. 어깨 석회성 건염으로 치료를 어느정도 했는데도 불구하고 통증이 해결되지 않고 석회의 크기가 줄어들지 않는다면 석회를 직접 분쇄해서 제거할 수 있는 뉴핌스치료(석회분쇄흡입술) 가 도움이 될 것이라고 생각합니다.

