안녕하세요. 정형외과 전문의 이동규 원장입니다. 나이가 많다는 이유로 정확한 진단도 제대로 된 치료도 안하시거나 못하시는 분들이 있습니다. 저한테 오시는 연세 많으신 환자분들의 이야기를 들어보면
" 동네 병원에 어깨가 아파서 갔더니 X-ray 만 찍어보고 염증이 있다고 약만 주더라" " X-ray 만 찍어보고 염증 있으니 주사 주고 물리치료 하라고 하더라" " 초음파 검사를 했는데 힘줄 파열이 있는데 나이가 있으니 약 먹고 주사 맞아보라고 하더라"
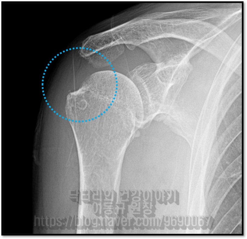
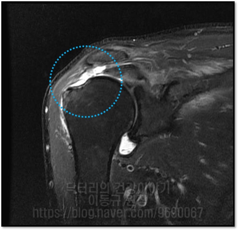
등등 말씀을 하십니다. 왜 정확히 진단을 하지 않고 왜 제대로 된 치료를 하지 않는 걸까요? 오늘 말씀드릴 케이스는 83세 환자분 입니다. 환자분은 어깨가 아파서 동네 병원에 갔는데 염증 있다고 아프면 주사맞고 좀 괜찮다가 또 아프고....그럼 또 주사 맞고... 이런 것을 3년 동안 해 왔다고 하였습니다. 그런데 이제는 주사 맞아도 효과도 없고 점점 더 아파지면서 가동범위 제한까지 와서 일상생활이 힘들고 밤에 아파서 잠을 못잔다고 하시면서 제발 고쳐달라고 하시면서 저한테 오셨습니다. 검사를 진행하였습니다.


환자분이 나이가 83세 이시지만 치료의 의지가 있고 건강상태도 좋았고 수술적 치료를 하였습니다.





나이는 숫자에 불과합니다. 이 환자분의 경우도 회전근개가 건강하여 봉합을 하여도 튼튼하게 봉합되었습니다.
나이는 진단과 치료에 있어서 고려해야 할 한가지의 대상에 불과 합니다. 나이가 많다고 하여 진단을 포기하거나 소홀히 해서는 안됩니다. 나이가 많다고 하여 치료를 하지않거나 포기를 해서는 안됩니다.
꼭 수술적 치료 뿐 아니라 비수술적 치료, 제대로된 주사치료 를 통해서도 어깨질환은 치유될 수 있습니다.

