(플래티넘 의원) 재발없이 어깨 석회성건염 치료 하려면 이것 까지 같이 치료 해야 된다!

2022. 11. 7.

(플래티넘 의원) 재발없이 어깨 석회성건염 치료 하려면 이것 까지 같이 치료 해야 된다!


극심한 어깨통증 유발하는 석회성건염은 자연치유 되기 까지 오랜 시간이 걸리기도 하고 만약 석회성건염 치료 없이 자연치유를 희망 하더라도 극심한 어깨 통증으로 석회성건염 치료 없이 자연치유가 되기 까지 기다릴수도 없습니다.

어깨 석회성건염은 어깨에 있는 회전근개라는 힘줄에 칼슘이 침착 하여 돌처럼 딱딱한 물질들이 회전근개 힘줄에 침착 하는 질환 입니다. 어깨에 있는 회전근개는 어깨 운동을 상당부분 차지하며 좌지우지 하기 때문에 특별한 외상이 없이도 자연적으로 파열되거나 손상될 가능성이 높습니다. 이로 인해 상대적으로 노화도 더 빨리 진행 됩니다. 힘줄이 노화되면 힘줄로 가는 혈액 공급이 감소 하게 되고 이에 따라 세포 내부에 칼슘이 축적 되며 석회가 형성 되기 시작하는데 이 석회가 계속 커지고 딱딱한 물질로 변하게 되면서 어깨 석회성건염으로 발전하게 됩니다.

최근엔 중장년층 뿐만 아니라 젊은 층에서도 어깨 과사용으로 인해 어깨 석회성건염이 발생 합니다. 무리한 어깨 사용 외부 충격에 의한 손상 잘못된 어깨 습관 운동 중 부상 등에 지속적으로 피로가 쌓이게 되면서 어깨 석회성건염이 생길 수 있습니다. 평상시 무리한 운동을 자주 하거나 어깨를 많이 사용 하는 일을 하는 경우라면 나이에 상관 없이 걸릴수 있어서 전 연령층은 어깨 석회성건염에 주의 해야 합니다. 어깨 석회성건염은 극심한 어깨통증이 대표적인 증상 입니다. 찌르는듯한 날카로운 어깨 통증으로 인해 팔을 들어올리는 것이 어려워지는 등 일상생활이 제한 되며 밤에는 통증이 더 심해지기도 합니다.

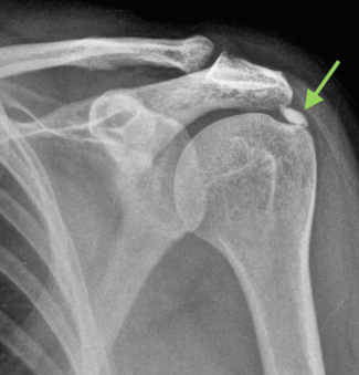
어깨 석회성건염의 진단은 간단하게 X-ray 검사 또는 초음파 검사로 진단 합니다. X-ray 검사상 큰 석회들은 어깨뼈 주변으로 하얗게 관찰 되기도 하며 미세 석회들의 경우는 X-ray 검사로 보이지 않고 초음파로 관찰 되며 이때 회전근개 힘줄에 생긴 석회의 크기나 모양을 초음파로 통해 자세하게 관찰 하며 진단 할 수 있습니다. 또한 석회성건염을 진단 할때 단순하게 회전근개 힘줄에 석회가 있는지만 파악 하는것이 아니라 회전근개의 파열 여부도 체크 해야 합니다. 석회성건염이 발생하는 원인이 앞써 말씀 드렸듯 힘줄의 노화로 인해 생기는것 인데 힘줄에 석회가 있는 경우 회전근개의 파열 이나 회전근개의 건증이 함께 관찰 되는 경우가 많기 때문에 어깨 석회성건염 진단시 회전근개 힘줄의 손상 유무도 확인하고 같이 치료가 되어야 재발 없이 석회성건염 치료가 될수 있습니다.

석회성건염 치료만 받고 수개월내 반복하여 석회성건염 치료를 하는 경우 힘줄의 손상은 치료가 되지 않아 그럴수 있으니 석회성건염 치료 할땐 반드시 힘줄의 손상 여부를 확인 하고 같이 석회성건염 치료 하시길 바랍니다. 효과적인 석회성건염 치료 정보 보러가기

🔗 https://blog.naver.com/9690067/222917378053
이동규 원장

이동규 원장

정형외과 의사 · 플래티넘의원

어깨·무릎 수술 및 비수술 치료

플래티넘의원 정형외과

서울 강남구 신사동 · 이동규 원장

진료 예약 및 공식 홈페이지 →